Neidio i'r prif gynnwy

Twbercwlosis (TB)/BCG

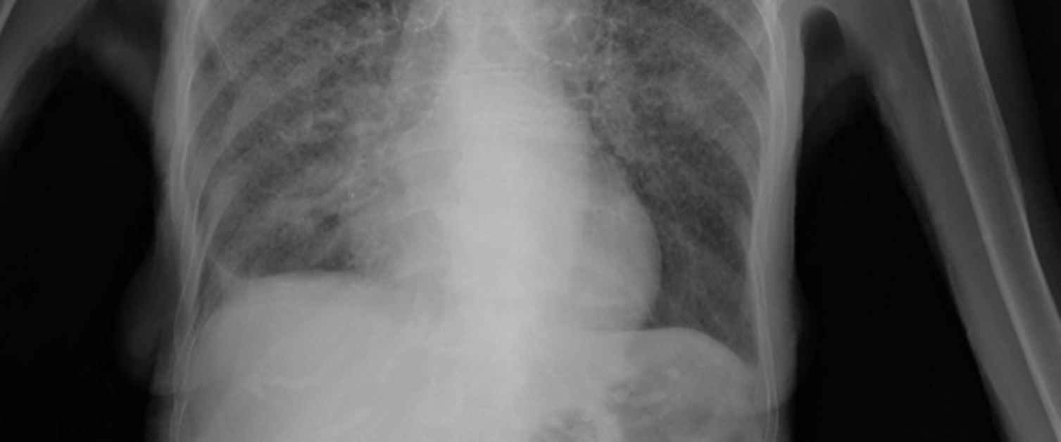
Mae twbercwlosis (TB) yn heintiad bacterol sy'n lledaenu trwy anadlu diferion bach o besychiadau a thisiadau gan rywun sydd wedi'i heintio â thwbercwlosis. Mae'n effeithio'n bennaf ar yr ysgyfaint ond gall effeithio ar rannau eraill o'r corff. 

Mae'r gwasanaethau Twbercwlosis (TB) Paediatrig yn cyrraedd plant a phobl ifanc sydd â TB tybiedig, yn darparu rhaglen sgrinio ac yn monitro triniaeth yn ôl yr angen. 

Mae'r gwasanaeth yn darparu rhaglen frechu BCG wedi'i thargedu i fabanod, plant a phobl ifanc sydd mewn mwy o berygl o TB ac sy'n cael eu hatgyfeirio gan fydwragedd, ymwelwyr iechyd, meddygon teulu a phaediatregwyr. Mae’r rhain yn cynnwys: 

  • Pob babi sydd â rhiant neu dad-cu neu fam-gu sydd wedi cael eu geni mewn gwlad lle mae nifer uchel o achosion o TB 

  • Gall plant hŷn sydd heb gael brechlyn BCG gael eu sgrinio am ffactorau risg TB, eu profi a'u brechu os yw'n briodol. 

Dilynwch ni: